华体会(中国)-华体会(中国) 华体会网页版登录入口 政策法规 产业市场 节能技术 能源信息 宏观环境 会议会展 活动图库 资料下载 焦点专题 智囊团 企业库
华体会网页版登录入口  节能产业网 >> 华体会网页版登录入口 >> 国内资讯 >> 正文
广东省全民爱牙公益行动经常塞牙可能由它们引发
来源:节能产业网 时间:2020/5/27 15:01:04 用手机浏览

“塞牙”—牙齿的求救信号

大部分人有过这样的经历,

一口红烧肉刚咬下去,

牙根一紧,塞牙了!!!

一大坨肉沫堵牙缝里面了,

并伴随着发胀感、隐痛感,

让人分分钟想除之而后快~

塞牙现象太普遍了,

据调查,45岁以上的中老年人

有90%以上都有塞牙现象。

然而就因为大常见了,

所以塞牙问题往往容易被忽视。

很多人觉得塞牙只是让人不舒服而已,那个牙签剔剔就好了,没什么大不了的。其实塞牙没你想得那么简单,背后隐藏着很多你意想不到的危害。

为什么塞牙?

正常情况下,我们牙齿的根部是被牙槽骨固定着的,牙槽骨外面又包裹了一层牙龈,它们让牙齿一个挨一个紧密地排列在一起,虽然咀嚼时牙齿之间并非一动不动,但基本上不会挤出缝儿来让食物有机可乘。

如果你开始塞牙了,基本上就说明牙已经有毛病了。

01

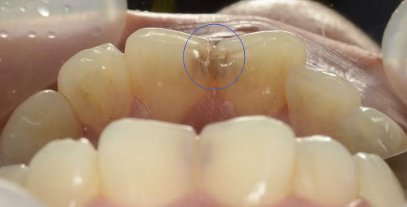
塞牙原因一:龋齿

几乎所有的龋齿患者都发生过塞牙,其中有一种情况特别难受,就是龋齿发生两颗牙的邻接面,这里有一个龋洞,吃的东西都会塞进去,慢慢地邻面龋更严重,一坏坏两牙。

邻面龋

02

塞牙原因二:智齿

对于年轻人来说,长得不好的智齿也是容易发生塞牙的一大原因,因为智齿长得不正,从后往前横着长,它跟前面的牙之间就出现了一道楔形的沟,吃啥塞啥。

智齿

03

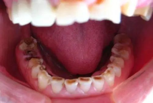
塞牙原因三:牙齿磨损

牙齿磨耗较重,沟壑变浅,食物溢出时容易“跑偏”进入牙缝。多见于老年人和咬合较紧的人。

牙齿磨损

04

塞牙原因四:治疗不当

塞牙还有一部分原因是由于医生的治疗技术和方法不当引起的,比如假牙没有镶好,修复体与邻牙或修复体与修复体之间没有接触或接触不好时,也容易引起塞牙。

塞牙的危害

1、口臭

食物长时间塞在牙缝里,会发酵出现异味儿,也就是我们常说的口臭。

2、牙缝越来越大

经常塞牙的两颗牙之间的缝隙势必会被越撑越大,使患者出现强烈的不适感。

3、牙齿敏感

经常塞牙的牙齿会越来越敏感,比如吃冷的、热的、硬的食物时,牙齿就会有十分酸爽的感觉。

4、龋齿

塞在牙缝里的残留食物的细菌会慢慢腐蚀两侧的牙齿,进而出现龋齿,龋齿发展严重了就会发展成牙髓炎、根尖周炎等。

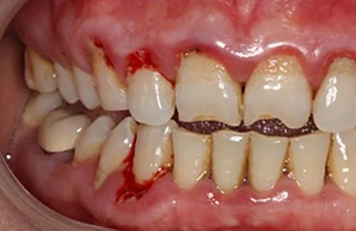
5、牙周病

塞牙时间长会刺激牙龈,引起牙龈炎,继续进展可能形成牙周病。从而使牙龈萎缩、牙槽骨吸收、牙齿松动,最终导致牙齿不得不拔掉。

牙龈红肿

塞牙应该怎么应对?

“塞牙”可以说是牙齿释放的求救信号,如果频繁出现“塞牙”现象,首先要想的不是剔牙,而是该看牙医了!

去专业口腔机构进行治疗,找出塞牙的原因对症下药,才能从源头解决“塞牙”问题!

1、牙齿疾患尽可能保守治疗,保存天然牙齿。一旦牙齿被拔除,拔牙后1至3个月内必须义齿修复,否则还会出现塞牙。

2、邻龋进行充填治疗时,必须正确恢复邻触点及其解剖外形。充填治疗邻接点恢复不良者,需重新充填治疗,必要时全冠修复或变异带环冠修复,恢复邻触点。

3、不良修复体造成的塞牙,需要拆除重新修复。

4、后牙严重磨损,牙尖牙嵴过锐,通过加磨排溢沟,扩大外展隙,调磨过锐牙尖和牙嵴解决。通过调磨后仍然塞牙者,只好用变异带环冠恢复邻触点。

5、牙齿松动,在系统牙周治疗后,夹板固定,消除食嵌。错颌、牙倾斜等引起的塞牙,可以通过正畸的方法治疗。

总之,当发现牙齿开始塞牙,

一定要注意用心检查,

及时发现问题及时解决,

保持牙齿长久健康~

全民爱牙公益行动,是以促进全民口腔健康为宗旨的爱心公益行动,受到南方卫视、广州日报等诸多知名媒体报社大力支持!行动汇聚了德国、韩国、巴西等国内外权威口腔专家和社会各界爱心资源,以“免费、补贴援助”的形式,为全国各地口腔患者提供专业舒适的口腔服务。

截止到今日,已有10000多名成功援助案例,本次行动获得了各界高度赞扬与信赖!




分享到:
相关文章 iTAG:
没有相关文章
频道推荐
服务中心
微信公众号

CESI
关于本站
版权声明
广告投放
网站帮助
联系我们
网站服务
会员服务
最新项目
资金服务
园区招商
展会合作
节能产业网是以互联网+节能为核心构建的线上线下相结合的一站式节能服务平台。
©2007-2020 CHINA-ESI.COM
鄂ICP备19009381号-2
节能QQ群:39847109
顶部客服微信二维码底部
扫描二维码关注官方公众微信